강아지 슬개골탈구 수술비 얼마일까?
강아지를 키우는 보호자라면 한 번쯤 들어봤을 슬개골탈구.
특히 소형견에게 자주 발생하며, 방치하면 수술까지 이어질 수 있어요.
오늘은 슬개골탈구의 증상, 단계별 치료법, 그리고 많은 분들이 궁금해하는 수술비용까지 자세히 알려드릴게요.
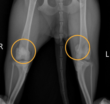
✅ 슬개골탈구란?
슬개골탈구는 한마디로 무릎뼈가 제자리를 벗어나는 질환입니다.
선천적 요인 혹은 외부 충격, 혹은 반복적인 움직임으로 인해 발생하죠.
초기엔 잘 모르고 지나치기 쉽지만, 방치하면 관절염이나 영구적인 손상까지 올 수 있습니다.
🩺 증상 단계별 정리
🔹 1단계:
- 슬개골이 탈구되었다가도 자연히 제자리로 돌아옴
- 눈에 띄는 증상은 거의 없음
- 주기적인 관찰과 관리 필요
🔹 2단계:
- 걸을 때 가끔 다리를 들거나 절뚝거림
- 탈구된 채로 유지되다 자리를 잡기도 함
- 물리치료나 보조기 착용으로 관리 가능
🔹 3단계:
- 탈구가 상시적으로 유지됨
- 움직임에 불편함이 많고 관절에 무리
- 수술 고려 시점
🔹 4단계:
- 슬개골이 완전히 자리에서 벗어남
- 통증으로 인해 활동량 급감
- 즉각적인 수술이 필요한 단계
💸 강아지 슬개골탈구 수술비는?
수술비는 병원과 강아지의 슬개골탈구 단계, 체중, 마취 여부 등에 따라 달라집니다.
대략적인 2025년 기준 평균 비용은 다음과 같습니다:
- 1~2단계 (비수술적 관리):
→ 진단 + 치료비 약 10만 ~ 30만 원 - 3단계 수술:
→ 50만 ~ 100만 원 정도 - 4단계 복합 수술:
→ 최대 120만 ~ 180만 원 이상 발생 가능
✔️ 참고: 양쪽 다리 수술 시, 비용은 2배 가까이 증가할 수 있습니다.
🐶수술 전! 여기 꼭 먼저 다녀와보세요.
슬개골탈구가 온 강아지들에게 '일반동물병원'을 먼저 추천하지만.
사실 저희 강아지도 알아보지 않고 집주변에 큰동물병원에서 수술을 했는데, 수술보다 좀더 나은 방법이 있었더라구요!
바로 <한방동물병원>입니다. 의무는 아니지만 먼저 다녀와보시는 걸 추천드릴게요!
왜냐하면 수술이라는거 자체가 작은 강아지들에겐 무리가 되는거라 수술을 안하는게 좋잖아요?
한방동물병원을 가시면 의사선생님께 증상을 말씀드리고, 진찰을 받으시면 침을 추천해주실거에요.
맞아요. 그 뾰족한 침! 우리 사람도 맞는 침이요!
거기서 거의 대부분 슬개골 있는 강아지들이 침을 맞고 많이 증상이 좋아졌다고 하더라구요.
저희 집 강아지는 제가 걱정되는 바람에 수술을 했는데, 아는 지인이 동물한방병원을 추천해주더라구요ㅠㅠ
진즉 알았으면 저는 한방병원부터 갔을거에요..ㅠㅠ
꼭 가보시라는건 아니겠지만 강아지를 키우고 수술까지시켜본 견주입장으로써 한방동물병원을 한번 다녀오시라고 추천드리고싶네요.
🧑⚕️ 수술 후 회복 기간과 주의사항
- 회복 기간: 약 4주~8주 (보호대 착용 필수)
- 산책은 제한, 실내 이동 중심
- 식사와 배변환경은 미끄러지지 않는 바닥에서 유지
- 체중 조절이 관건! 비만은 재발을 유도할 수 있어요.
항목 | 내용 |
주요 증상 | 다리 들고 걷기, 절뚝거림 |
치료 방법 | 단계별 보존 치료 또는 수술 |
수술비 | 평균 50만~180만 원 |
회복 기간 | 1~2개월 |
💡 TIP: 병원 선택 시 이렇게 하세요!
- 슬개골탈구 전문 수의사가 있는지 확인
- 후기 검색 → 실제 수술 후기 참고
- 상담 시 비용 및 회복 계획까지 구체적으로 문의
📢 보호자라면 꼭 기억하세요!
조기 진단과 관리가 슬개골탈구의 진행을 막는 가장 좋은 방법입니다.
조금이라도 이상한 걸음걸이가 보이면 지체 말고 동물병원에 방문하세요.
강아지 발작 증상과 대처법 총정리! 5분 이상 지속 시 응급처치 필요
강아지가 먹으면 절대 안 되는 음식 5가지! 수술까지 부를 수 있어요🐾 반려견 보호자라면 꼭 알아두세요!일상 속에서 무심코 준 음식이 강아지 건강을 심각하게 해칠 수 있다는 사실, 알고 계
yes4.yesjins.com
반려견 예방약 및 예방접종 총정리 (챙겨야할 약, 예방접종, 시기)
우리 강아지가 건강하게 오래 살기 위해서 꼭 필요한 게 있습니다.바로 예방약 복용과 정기적인 예방접종이에요.하지만 반려견을 계속 키우고 있는 분들도, 또 처음 반려견을 키우는 분들도“
yes4.yesjins.com
'[강아지 연구소]' 카테고리의 다른 글
강아지 발작 증상과 대처법 총정리! 5분 이상 지속 시 응급처치 필요 (2) | 2025.04.16 |
---|---|
강아지가 먹으면 절대 안 되는 음식 5가지! 수술까지 부를 수 있어요 (0) | 2025.04.16 |
반려견 예방약 및 예방접종 총정리 (챙겨야할 약, 예방접종, 시기) (2) | 2025.04.04 |
실내에서 키우기 좋은 강아지TOP5 - 반려견 입양 고민 끝! (1) | 2025.04.04 |
강아지 행동의 의미|자주 하는 행동으로 마음 읽는 법 (0) | 2025.04.04 |